Get iNews App with new looks!
Mode Gelap
Advertisement
Aa Text
Share:
Read Next : Batal ke Eropa, Wisatawan RI Geser Liburan ke China dan Jepang imbas Konflik di Timur Tengah
Advertisement . Scroll to see content

Pertama di Dunia, Pasien Covid Ini Terima Transplantasi Paru-Paru dari Suami dan Anaknya

Sabtu, 10 April 2021 - 07:25:00 WIB
 Pertama di Dunia, Pasien Covid Ini Terima Transplantasi Paru-Paru dari Suami dan Anaknya
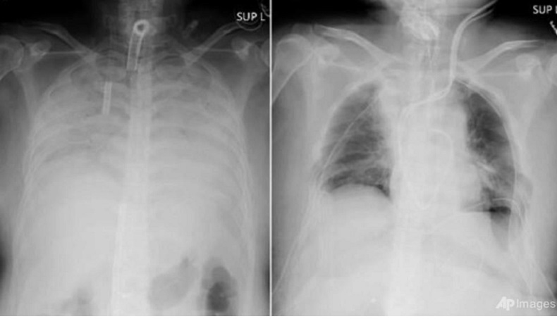
Hasil Rontgen Paru-Paru. (Foto AFP).
Advertisement . Scroll to see content

TOKYO, iNews.id - Soerang pasien Covid-19 di Jepang menjadi orang pertama di dunia yang mendapatkan transplantasi paru-paru dari pendonor. Perempuan yang paru-parunya mengalami kerusakan itu mendapat donor dari suami dan anaknya.

Rumah Sakit Universitas Kyoto mengatakan, perempuan asal Kansai itu dipastikan dalam kondisi membaik setelah 11 jam menjalani operasi pada Rabu (7/4/2021). Universitas memastikan itu adalah cangkok jaringan paru-paru pertama di dunia dari pendonor ke pasien dengan kerusakan paru-paru yang parah akibat Covid-19.

“Saya pikir ini adalah perawatan yang memberi harapan baru untuk pasien dengan kerusakan paru-paru parah akibat Covid-19,” ujar Hiroshi Date, dokter ahli bedah toraks yang memimpin operasi, dikutip Associated Press, Sabtu (10/4/2021).

Sang suami menyumbangkan bagian paru-paru kirinya, dan putranya memberikan bagian paru-paru kanannya. Mereka dilaporkan dalam kondisi stabil setelah menjalani operasi yang ditangani 30 dokter.

Follow WhatsApp Channel iNews untuk update berita terbaru setiap hari! Follow

Related News

 
iNews Network
Kami membuka kesempatan bagi Anda yang ingin menjadi pebisnis media melalui program iNews.id Network. Klik lebih lanjut