Get iNews App with new looks!
Mode Gelap
Advertisement
Aa Text
Share:
Read Next : Tragis! Lansia di Pondok Aren Tangsel Ditusuk Tetangga saat Bermain dengan Cucu
Advertisement . Scroll to see content

Ada-Ada Aja! Pria Ini Masukkan Tali 2 Meter ke Dalam Penis

Selasa, 15 November 2022 - 14:06:00 WIB
Ada-Ada Aja! Pria Ini Masukkan Tali 2 Meter ke Dalam Penis
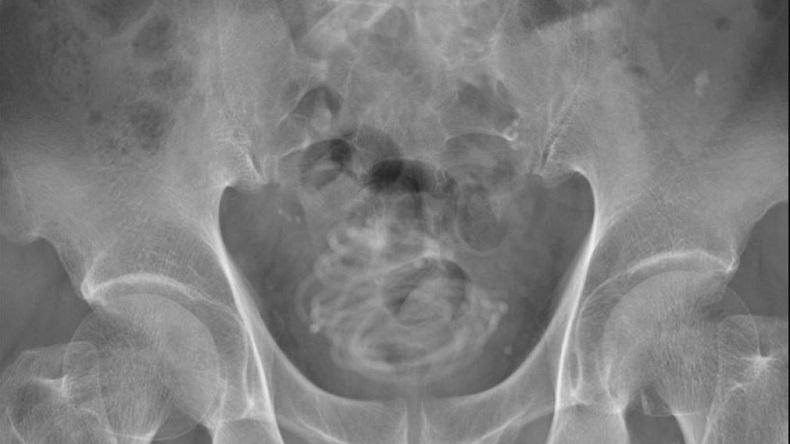
Lansia di Jepang nekat memasukkan tali lompat (skipping) ke dalam penis. (Foto: : Creative Commons)
Advertisement . Scroll to see content

TOKYO, iNews.id - Seorang lansia di Jepang nekat memasukkan tali lompat (skipping) ke dalam penis. Akibatnya, tali itu terperangkap di kandung kemih

Pria 79 tahun harus menjalani operasi pembedahan untuk mengeluarkan benda asing yang ada di kandung kemihnya. Dokter terpaksa membuat lubang di kandung kemihnya untuk mengeluarkan tali tersebut. 

Kejadian ekstrem menurut dokter ini bermula saat lansia tersebut merasakan sakit dan panas di kandung kemih saat buang air kecil. Dia pun pergi ke Dokkyo Medical University. 

Dokter di RS tersebut segera melakukan scan termasuk USG pada kandung kemih pria itu. Hasil pemindaian sungguh membuat dokter bingung. 

Selanjutnya, tim dokter melakukan rontgen. Hasilnya, mereka menemukan benda asing melingkar seperti kawat di dalam kandung kemih.

Model 3D bagian dalam kandung kemih pria itu harus dibuat untuk membantu petugas medis memetakan prosedurnya.

Follow WhatsApp Channel iNews untuk update berita terbaru setiap hari! Follow

Related News

 
iNews Network
Kami membuka kesempatan bagi Anda yang ingin menjadi pebisnis media melalui program iNews.id Network. Klik lebih lanjut