Get iNews App with new looks!
Mode Gelap
Advertisement
Aa Text
Share:
Read Next : Potensi AS Serang Iran, Australia Minta Keluarga Diplomat Tinggalkan Israel dan Lebanon Segera
Advertisement . Scroll to see content

Sakit Kepala Selama 7 Tahun, Ada Larva Cacing Pita Bersarang di Otak Perempuan Ini

Minggu, 04 Oktober 2020 - 18:00:00 WIB
Sakit Kepala Selama 7 Tahun, Ada Larva Cacing Pita Bersarang di Otak Perempuan Ini
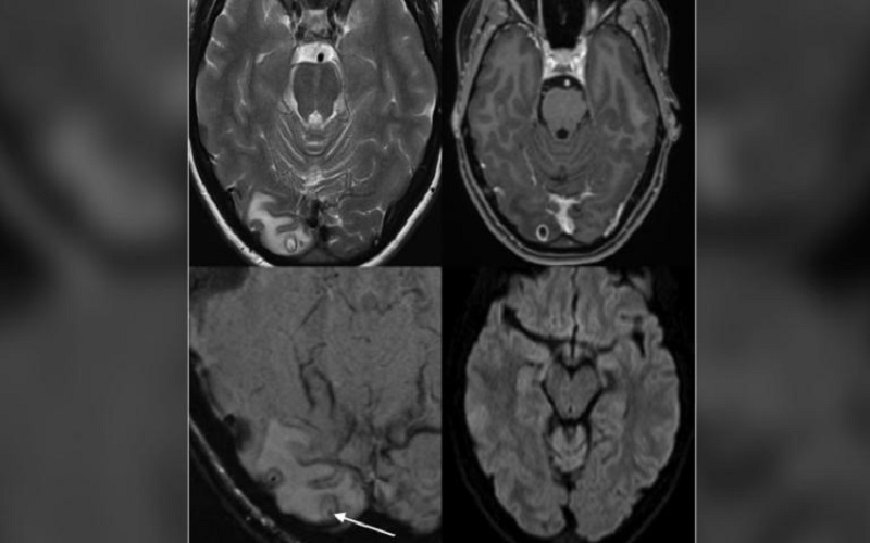
Hasil MRI yang menunjukkan kista berisi larva cacing pita di otak seorang perempuan Australia. (foto: CNN)
Advertisement . Scroll to see content

CANBERRA, iNews.id - Seorang perempuan Australia mengeluhkan sakit kepala selama tujuh tahun terakhir. Betapa kagetnya dia setelah mengetahui penyebabnya adalah larva cacing yang bersarang di otaknya.

Berdasarkan penelitian yang diterbitkan dalam The American Journal of Tropical Medicine and Hygiene pada 21 September lalu, rasa sakit di bagian kepala yang dialami perempuan 25 tahun itu disebabkan oleh larva cacing pita yang berkembang biak di ruang otaknya.

Pasien tersebut diketahui tidak pernah bepergian ke luar negeri, artinya ini menjadi kasus asli pertama dari penyakit itu di Australia, demikian hasil penelitian.

Sebelumnya, kasus serupa pernah muncul di Australia yang berasal dari imigran atau penduduk yang kembali dari perjalanan ke daerah di mana penyakit tersebut endemik seperti Afrika, Asia dan Amerika Latin.

Perempuan yang namanya dirahasiakan mengeluh sakit kepala yang akan terjadi dua atau tiga kali sebulan dan sembuh dengan obat migran yang diresepkan dokter.

Follow WhatsApp Channel iNews untuk update berita terbaru setiap hari! Follow

Related News

 
iNews Network
Kami membuka kesempatan bagi Anda yang ingin menjadi pebisnis media melalui program iNews.id Network. Klik lebih lanjut